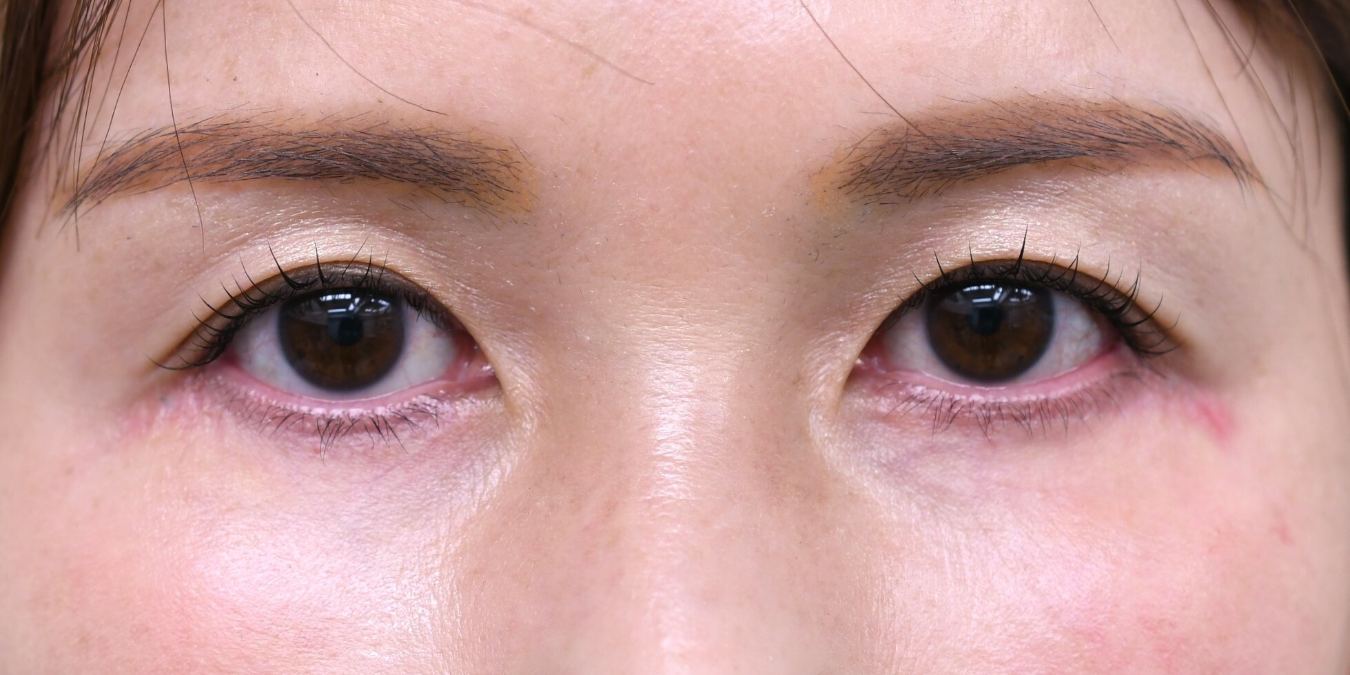
40代 女性 下眼瞼切開 池内医師
BEFORE
AFTER

施術の解説
40代女性の下眼瞼切開症例になります。患者様は、数年前に結膜側から脱脂をすでにされていましたが、たるみがひどくなってきたため、たるみ切除をされることになりました。お目元に小じわ等が少なかったため、皮膚と眼輪筋を併せて切除しました。最大幅は5mmで、術後の外反軽減目的に眼輪筋と眼窩骨膜との牽引を行っています。幸い、術後の出血や腫れが少なかったため、外反もほとんどなく済みました。
施術のリスク・副作用
たるみが残る・くぼみ具合の変化・目頭部分の突っ張り・左右差・眉毛の位置の左右差・瞼が完全に閉じない・毛嚢炎・結膜浮腫・血液貯留・感染・白目や角膜の損傷・シワの増加・腫れ・浮腫み・内出血等
施術の総額費用
315,000円(税込)
- ※ 費用は一例であり、モニター価格などの適用、麻酔の有無、使用する器具や施術方法に因り費用が異なる場合がございます。
- ※ この患者様の費用は施術当時の金額になります。実際の費用はクリニックへお問い合わせください。
