10代 女性 全切開法 池内医師
BEFORE
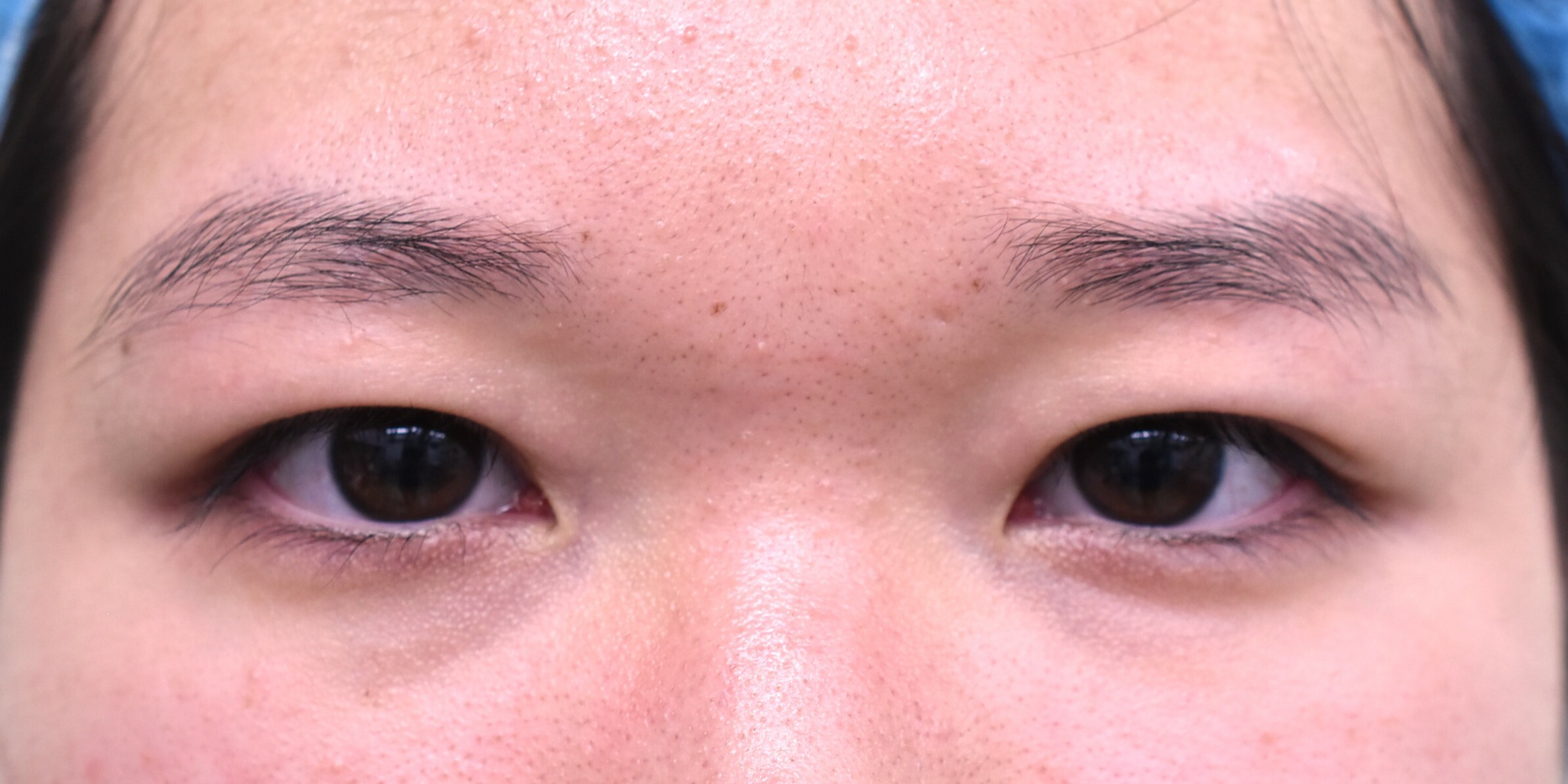
AFTER


施術の解説
高校生の女性、全切開法症例になります。以前当院にて埋没法を行いましたが、緩んで狭くなってしまい、取れにくい切開の手術にて、二重をさらに広げたいとの希望にて、全切開法を行いました。平行型でデザインし、二重幅をひろげるだけではなく、たるみも併せて切除しています。 腫れぼったさの改善目的に眼窩脂肪だでではなく、ROOF脂肪も切除し、挙筋腱膜の固定も行っています。
術後写真は1M後のものですが、開瞼幅が大幅に改善したことで、ぱっちりとした印象になりました。
術後写真は1M後のものですが、開瞼幅が大幅に改善したことで、ぱっちりとした印象になりました。
施術のリスク・副作用
たるみが残る・くぼみ具合の変化・目頭部分の突っ張り・左右差・眉毛の位置の左右差・瞼が完全に閉じない・毛嚢炎・血液貯留・感染・白目や角膜の損傷・シワの増加・腫れ・浮腫み・結膜浮腫・内出血等
施術の総額費用
245,000円(税込)
- ※ 費用は一例であり、モニター価格などの適用、麻酔の有無、使用する器具や施術方法に因り費用が異なる場合がございます。
- ※ この患者様の費用は施術当時の金額になります。実際の費用はクリニックへお問い合わせください。
