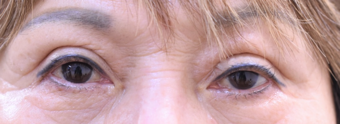
重瞼術 全切開法余剰皮膚切除含む(右側のみ)
BEFORE
AFTER


施術の解説
70代 女性の重瞼術全切開法症例になります。右の二重ラインが緩んで皮膚が目にかぶさってきたので、改善目的に手術を行いました。
二重幅10.5mm たるみ切除最大幅6mmでデザインしています。 術後写真は、手術後6か月になりますが、手術を行っていない左とほぼそろいました。患者様も上眼瞼がすっきりしたとのことで喜んでおられました。
二重幅10.5mm たるみ切除最大幅6mmでデザインしています。 術後写真は、手術後6か月になりますが、手術を行っていない左とほぼそろいました。患者様も上眼瞼がすっきりしたとのことで喜んでおられました。
施術のリスク・副作用
タルミが残る・くぼみ具合の変化・目頭部分の突っ張り・左右差・眉毛の位置の左右差・瞼が完全に閉じない・毛嚢炎・血液貯留・感染・白目や角膜の損傷・シワの増加・腫れ・浮腫み・内出血等
施術の総額費用
198,000円(税込)
- ※ 費用は一例であり、モニター価格などの適用、麻酔の有無、使用する器具や施術方法に因り費用が異なる場合がございます。
- ※ この患者様の費用は施術当時の金額になります。実際の費用はクリニックへお問い合わせください。
