20代 女性 全切開+目頭切開 池内医師
BEFORE
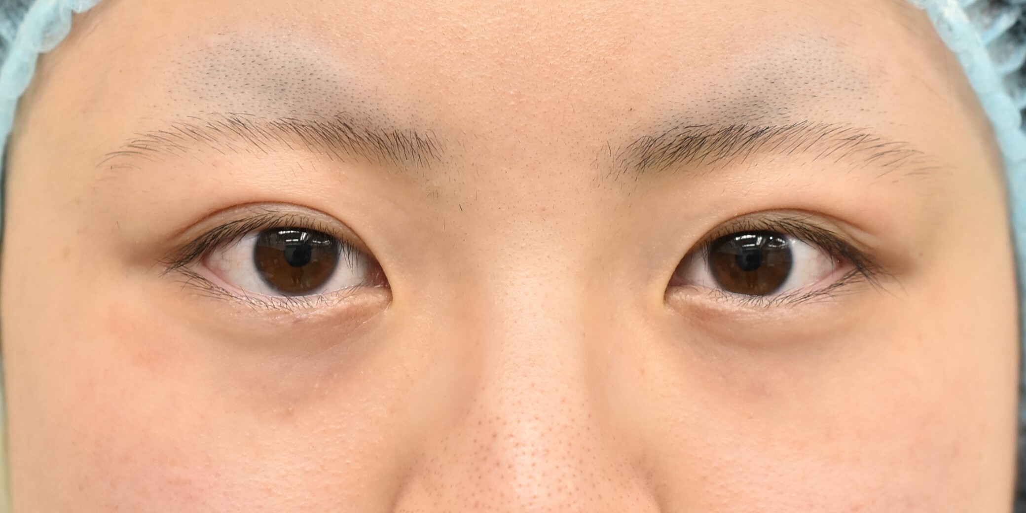
AFTER


施術の解説
20代 女性の全切開法+目頭切開法症例になります。二重幅をひろげたい、目の開きを良くしたいとの希望にて、前記手術となりました。二重幅は8mmで行い、逆さまつ毛改善目的に、たるみを1mm幅にて切除、併せて眼瞼下垂修正目的に挙筋の前転も行っています。
目頭切開は、目頭をとがらせる目的でZ法を選択、2mm幅で行いました。
目頭切開は、目頭をとがらせる目的でZ法を選択、2mm幅で行いました。
施術のリスク・副作用
タルミが残る・くぼみ具合の変化・目頭部分のつっぱりや左右差・眉毛の位置の左右差・瞼が完全に閉じない・毛嚢炎・血液貯留・感染・白目や角膜の損傷・シワの増加・腫れ・浮腫み・結膜浮腫・内出血等
施術の総額費用
412,350円(税込)
- ※ 費用は一例であり、モニター価格などの適用、麻酔の有無、使用する器具や施術方法に因り費用が異なる場合がございます。
- ※ この患者様の費用は施術当時の金額になります。実際の費用はクリニックへお問い合わせください。
