20代 女性 全切開法 挙筋前転 逆さまつ毛改善
BEFORE
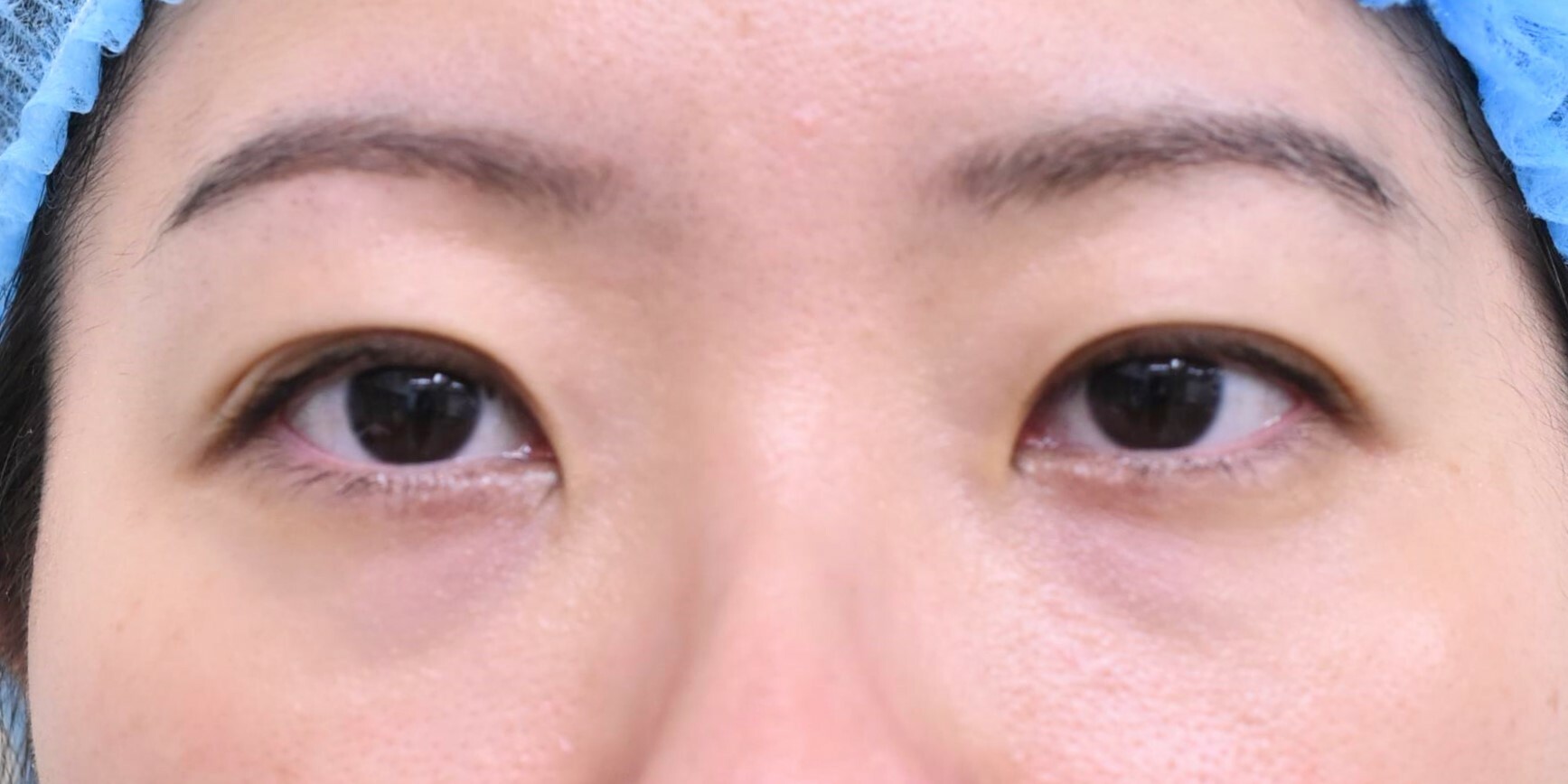
AFTER


施術の解説
20代女性の全切開法症例になります。以前に埋没法をされていましたが、幅を欲張ったため眠たそうな二重になったのを機にされていまし、幅変更(幅を狭く)、目をぱっちりとさせたいとの希望にて全切開法+挙筋短縮を行いました。逆さまつ毛も確認できたため、合わせて修正を行っています。術後写真は1か月検診時のものですが、腫れは残っているものの、患者様にはぱっちりとしたお目元を喜んでいただきました。
施術のリスク・副作用
タルミが残る・くぼみ具合の変化・目頭部分の突っ張り・左右差・眉毛の位置の左右差・瞼が完全に閉じない・毛嚢炎・血液貯留・感染・白目や角膜の損傷・シワの増加・腫れ・浮腫み・内出血等・結膜浮腫
施術の総額費用
330,000円(税込)
- ※ 費用は一例であり、モニター価格などの適用、麻酔の有無、使用する器具や施術方法に因り費用が異なる場合がございます。
- ※ この患者様の費用は施術当時の金額になります。実際の費用はクリニックへお問い合わせください。
