20代 女性 目頭切開Z法 池内医師
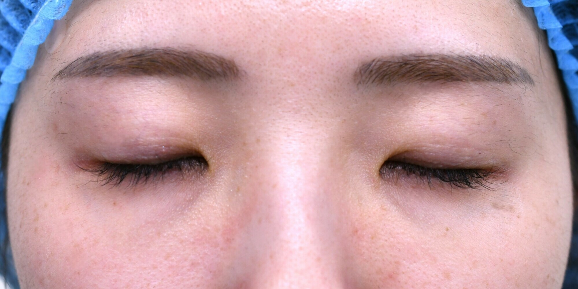
BEFORE
AFTER



施術の解説
20代女性の目頭切開症例になります。目を内側に寄せたい、目頭をとがらせたいとの希望にてZ法で行っています。2mm幅にてデザインしました。術後瘢痕改善目的にケナコルト注射を使用しましたが、3ヶ月検診時にはほとんど改善しています。
なりたい目頭の形で、内田法、Z法の選択、切除幅の調整が可能です。
抜糸時もあまり腫れていません。
なりたい目頭の形で、内田法、Z法の選択、切除幅の調整が可能です。
抜糸時もあまり腫れていません。
施術のリスク・副作用
目頭部分のつっぱり・左右差・眉毛の位置の左右差・瞼が完全に閉じない・白目や角膜の損傷・シワの増加・たるみが残る・くぼみ具合の変化・結膜浮腫・腫れ・浮腫み・内出血・毛嚢炎・血液貯留・感染等
施術の総額費用
165,000円(税込)
- ※ 費用は一例であり、モニター価格などの適用、麻酔の有無、使用する器具や施術方法に因り費用が異なる場合がございます。
- ※ この患者様の費用は施術当時の金額になります。実際の費用はクリニックへお問い合わせください。
