30代 女性 二重埋没法 池内医師
BEFORE
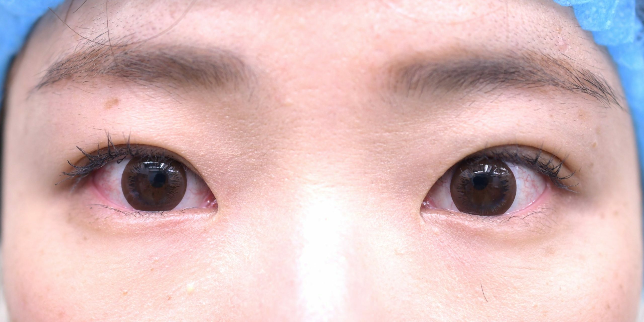
AFTER


施術の解説
30代女性の埋没法症例になります。埋没法を以前受けられていましたが緩んだため、再手術として行っています。
8mm幅にて行いました。症例写真は1M後になります。まつ毛腫れ際がみえるようになったため、アーモンドアイになっています。
8mm幅にて行いました。症例写真は1M後になります。まつ毛腫れ際がみえるようになったため、アーモンドアイになっています。
施術のリスク・副作用
部分のつっぱり・左右差・眉毛の位置の左右差・白目や角膜の損傷・シワの増加・たるみが残る・くぼみ具合の変化・結膜浮腫・腫れ・浮腫み・内出血・毛嚢炎・感染等・糸の露出
施術の総額費用
77,000円(税込)
- ※ 費用は一例であり、モニター価格などの適用、麻酔の有無、使用する器具や施術方法に因り費用が異なる場合がございます。
- ※ この患者様の費用は施術当時の金額になります。実際の費用はクリニックへお問い合わせください。
