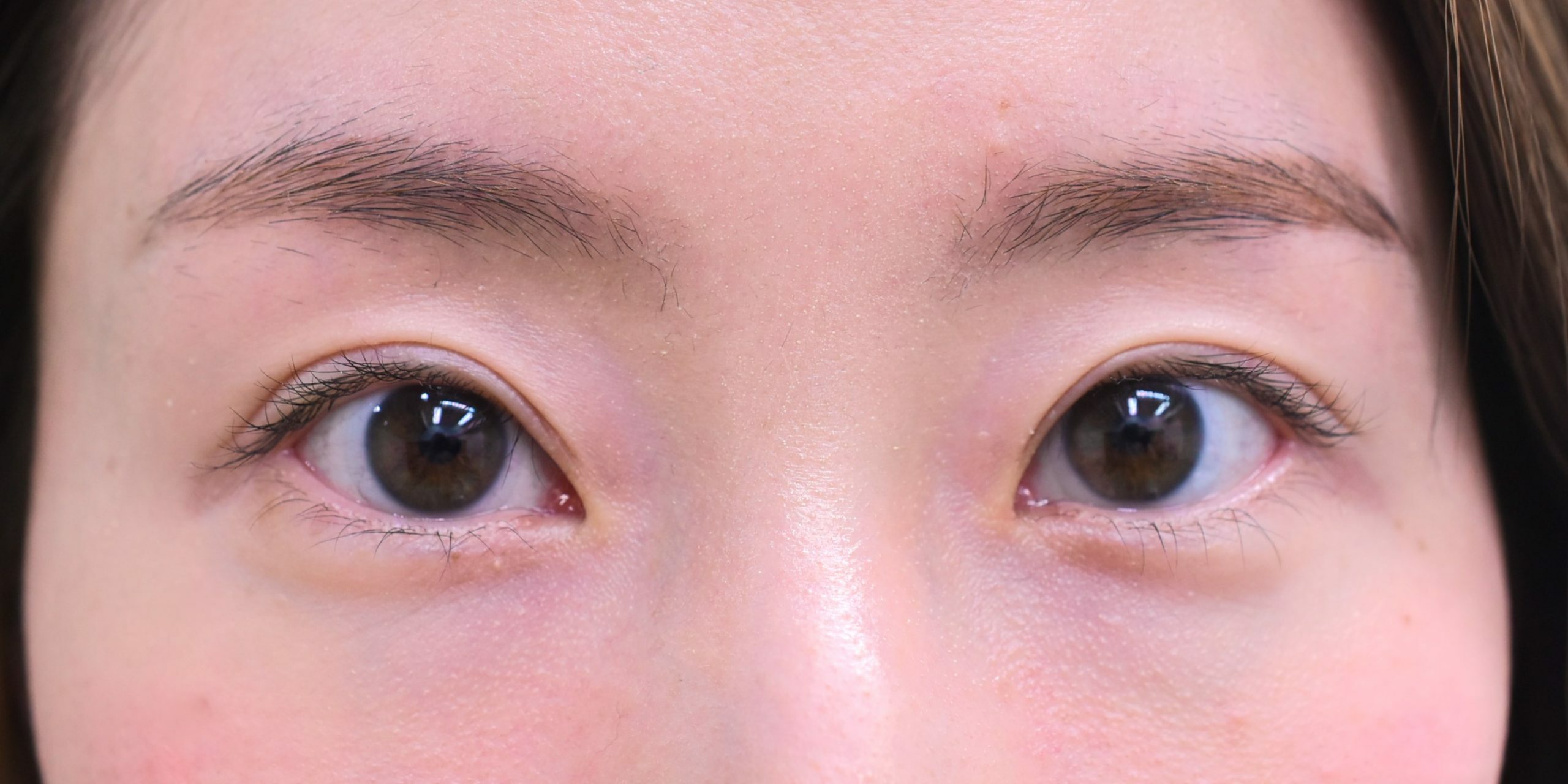
30代 女性 全切開法+挙筋前転 池内医師
BEFORE
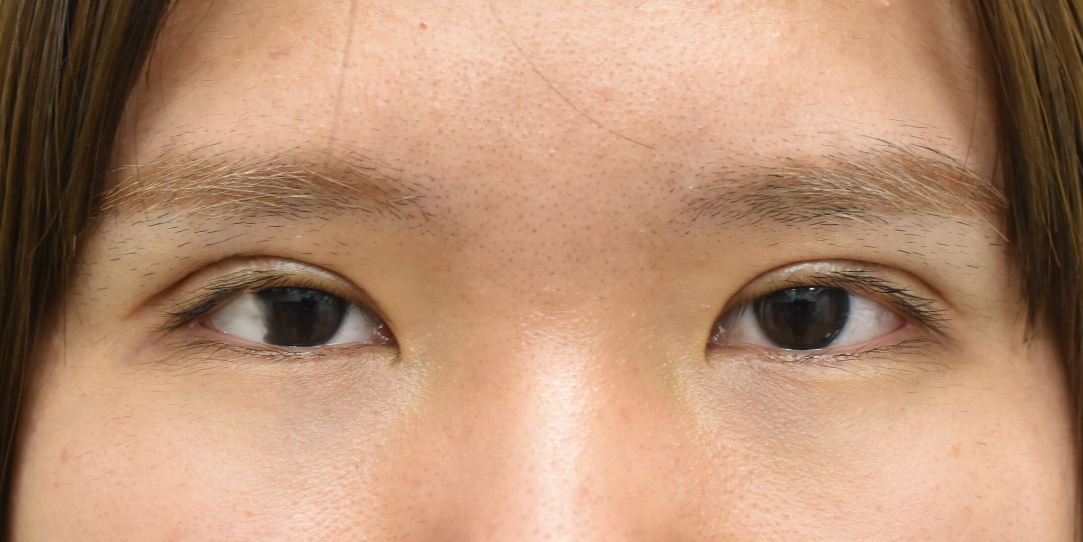
AFTER


施術の解説
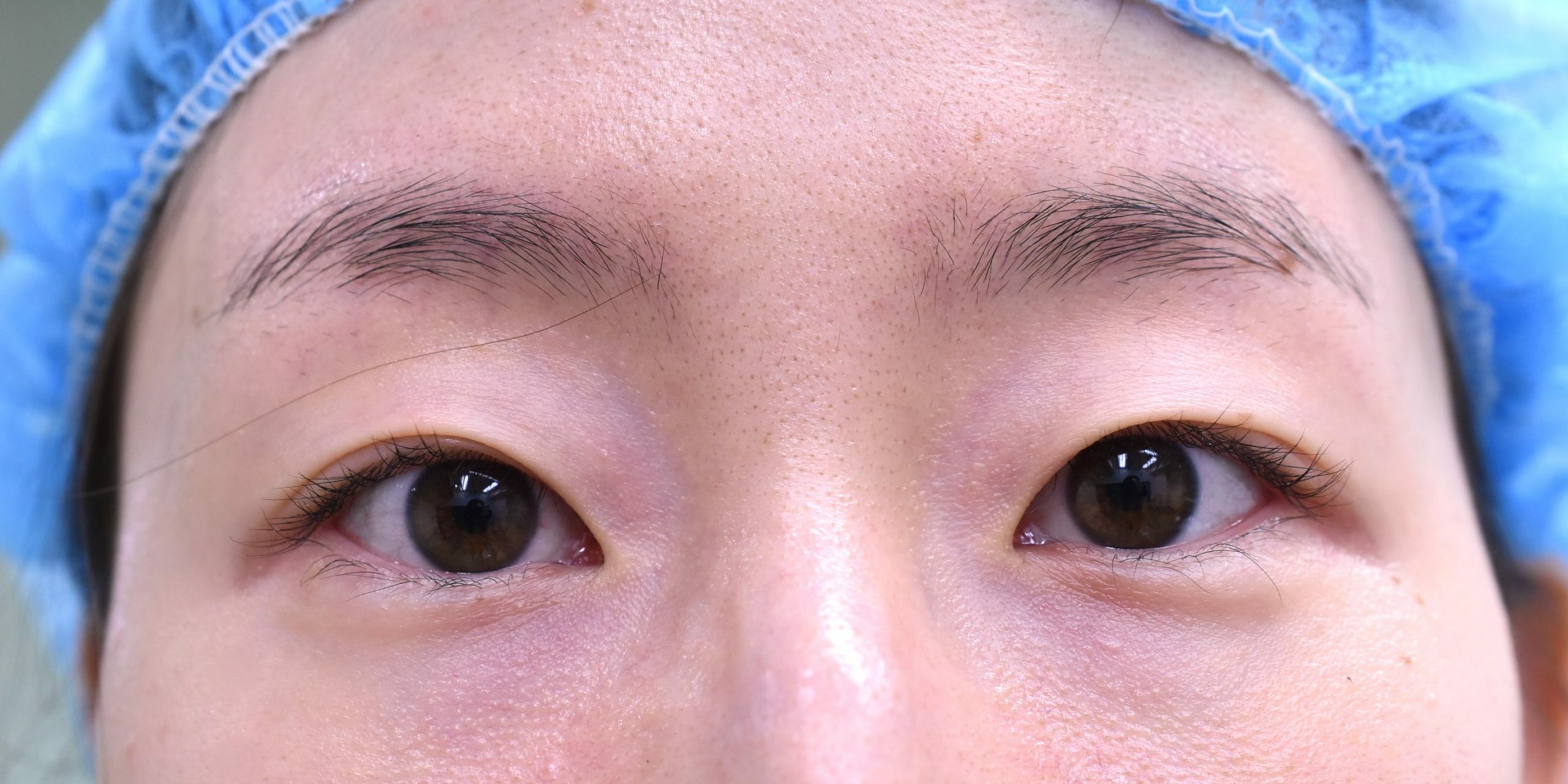
30代女性の全切開法(挙筋腱膜前転、たるみ切除、逆さまつ毛修正)の症例になります。当院にて埋没法をされていましたが、左右ともに緩んでしまい、勇気を振り絞って全切開法を行うことにしました。瞼の厚ぼったさ以外に、たるみが多い、眼瞼下垂、逆さまつ毛も併せて修正行っています。二重幅7mm たるみ切除幅4mmで 挙筋腱膜前転、逆さまつ毛修正も併せて行いました。
控えめながら、目の開きが良くなり、ぱっちりとした二重になったことを喜んでいただきました。
控えめながら、目の開きが良くなり、ぱっちりとした二重になったことを喜んでいただきました。
施術のリスク・副作用
瞼が完全に閉じない・白目や角膜の損傷・シワの増加・たるみが残る・くぼみ具合の変化・結膜浮腫・腫れ・浮腫み・内出血・毛嚢炎・血液貯留・感染等
施術の総額費用
330,000円(税込)
- ※ 費用は一例であり、モニター価格などの適用、麻酔の有無、使用する器具や施術方法に因り費用が異なる場合がございます。
- ※ この患者様の費用は施術当時の金額になります。実際の費用はクリニックへお問い合わせください。
