30代 女性 埋没法 末広型 9mm
BEFORE
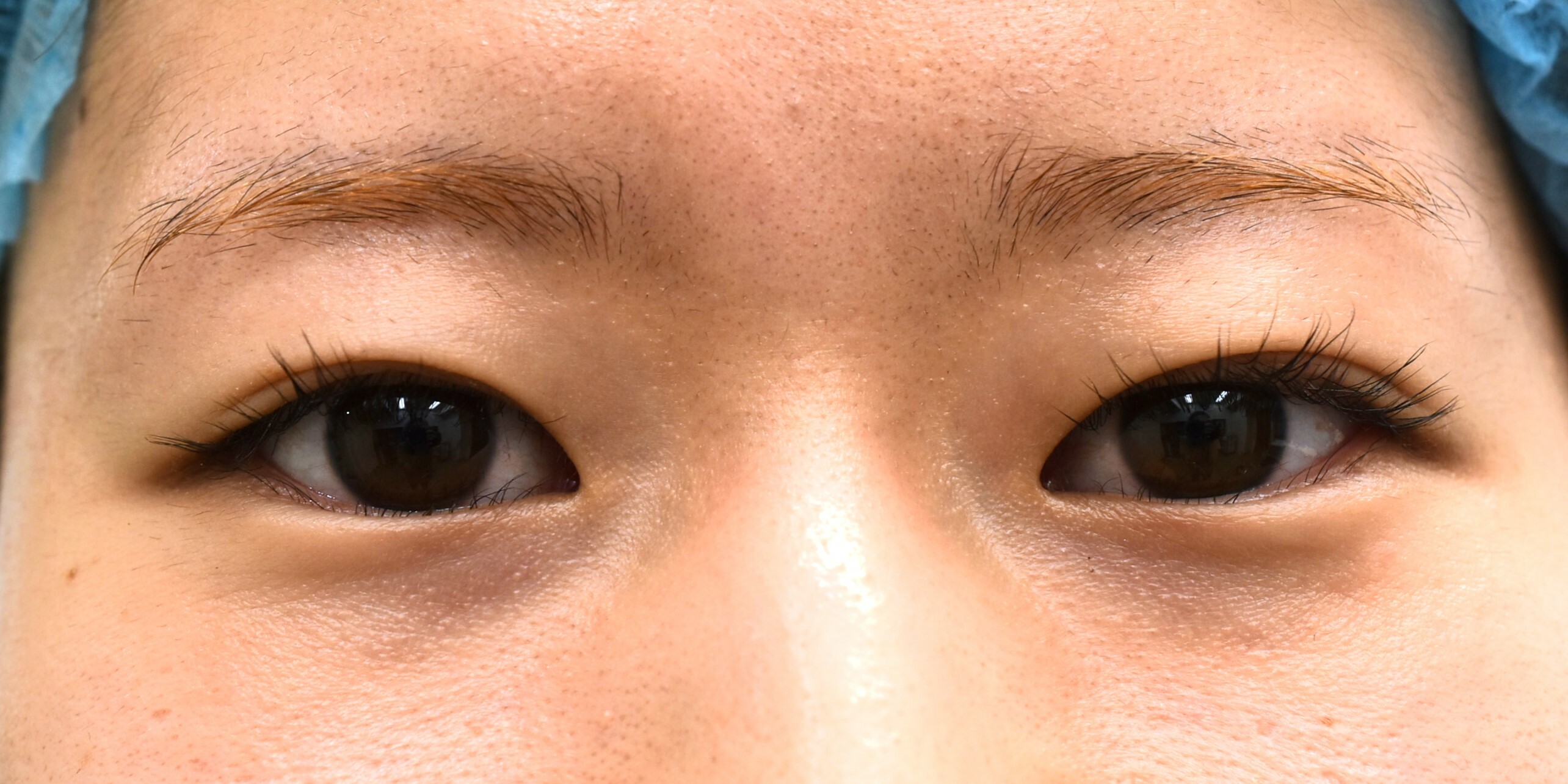
AFTER


施術の解説
30代女性埋没法の症例になります。10代の時に埋没法をされていましたが、癖が緩んできたため再度埋没法で手術をされることになりました。
9mm幅で末広型にてデザインしています。まつ毛が跳ね上がるような幅を選んだため、手術直後の写真ではありますが、自然なぱっちりとした二重ができました
9mm幅で末広型にてデザインしています。まつ毛が跳ね上がるような幅を選んだため、手術直後の写真ではありますが、自然なぱっちりとした二重ができました
施術のリスク・副作用
タルミが残る・くぼみ具合の変化・目頭部分の突っ張り・左右差・眉毛の位置の左右差・瞼が完全に閉じない・毛嚢炎・血液貯留・感染・白目や角膜の損傷・シワの増加・腫れ・浮腫み・内出血等・結膜浮腫
施術の総額費用
77,000円(税込)
- ※ 費用は一例であり、モニター価格などの適用、麻酔の有無、使用する器具や施術方法に因り費用が異なる場合がございます。
- ※ この患者様の費用は施術当時の金額になります。実際の費用はクリニックへお問い合わせください。
