30代 小切開法 池内医師
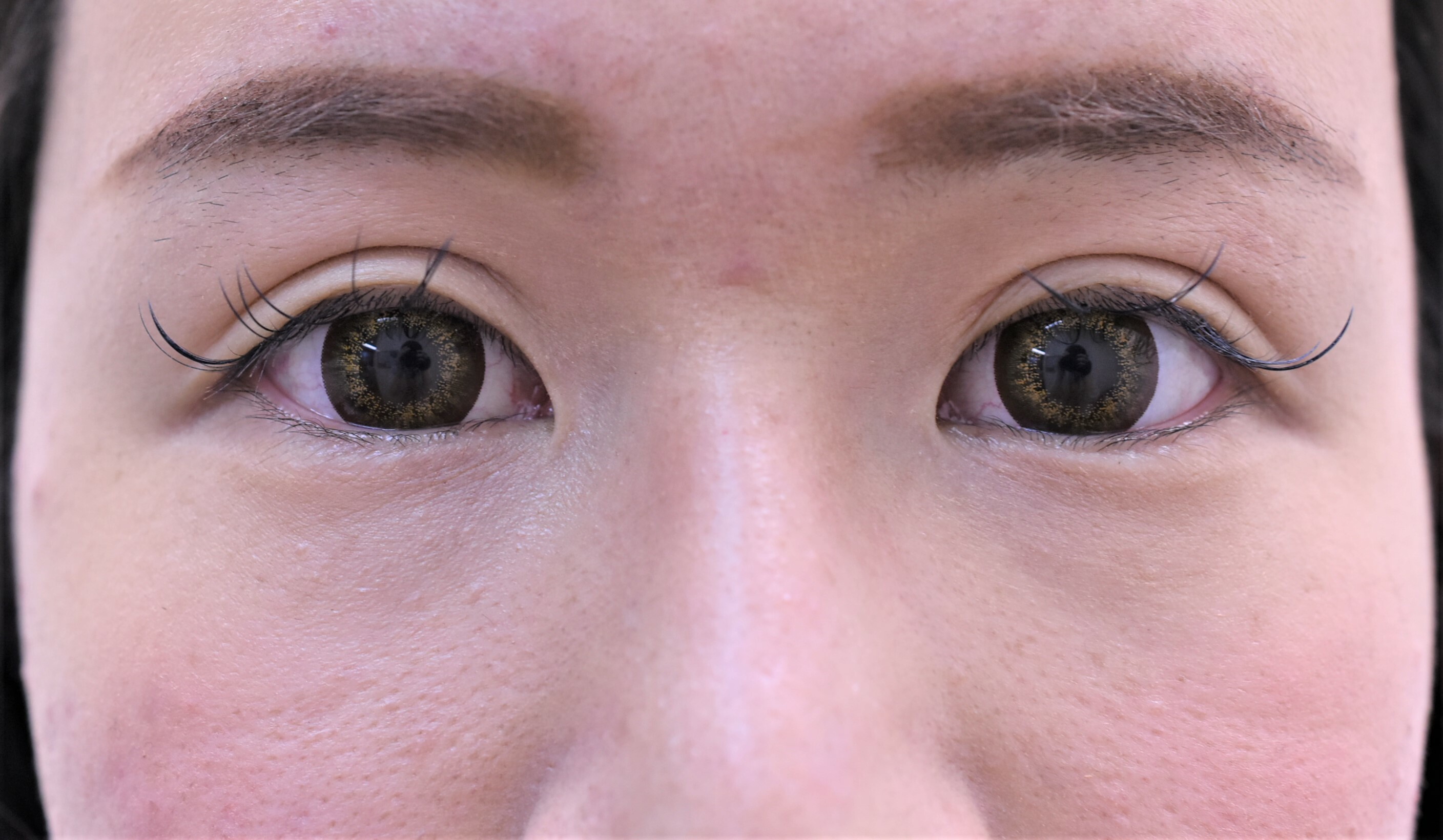
BEFORE
AFTER


施術の解説
30代 女性の小切開法(部分切開法)症例になります。以前に埋没法をされていましたが緩んでしまったため、取れにくい手術を受けたいとのことで前記手術を行いました。二重幅は7.5mm、末広型で以前よりも幅を広くデザインし、埋没糸の抜去も併せて行いました。
腫れが引いた術後写真では、ラインも自然でまつ毛が跳ね上がっているのがわかります。
腫れが引いた術後写真では、ラインも自然でまつ毛が跳ね上がっているのがわかります。
施術のリスク・副作用
左右差・希望と異なる・違和感・感染・しこり・埋没糸の露出・血液貯留・白目や角膜の損傷・加齢による幅等の変化・ラインの消失・ラインの乱れ・ラインの短さ・腫れ・浮腫み・内出血・埋没糸の透け具合
施術の総額費用
168,450円(税込)
- ※ 費用は一例であり、モニター価格などの適用、麻酔の有無、使用する器具や施術方法に因り費用が異なる場合がございます。
- ※ この患者様の費用は施術当時の金額になります。実際の費用はクリニックへお問い合わせください。
