秋の気配が深まりましたが、
一時的なものでしょうね?
昨日の夜から今朝も、
とても涼しくて、
エアコンなしでも寒いくらいでした
さて、クリニックの最近の様子はと
言いますと、骨切りの手術が
続いております。
先日は、若い男性の
顎の骨切り術がありました。
女性よりも下顎骨が大きいため
それなりに切断しないと効果を実感できません
当院では、手術にあたり、
提携病院でレントゲン写真撮影を
事前に行っていただき、
切除可能な量を計測しています。


先日ブログで紹介させて頂きました
女性よりも顎が長く太かったので、
先端で6mm幅、
最大8mm幅で切除を行いました。

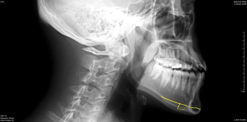
頭蓋側面のレントゲン写真では、
下顎骨の中央から、
先端にかけて幅が広くなっているのがわかります
骨切りのデザインの際には、
骨切りの断端をなめらかにするために、
切り始めをそこに置くことにしました。
男性の骨は、
硬く厚いため、
骨切りには時間がかかりましたが、
無事写真の通り、
切り出すことができました。
(骨片の左側が短いのは、
骨が途中で割れてしまったためで、追加切除しています。)


もちろん、オトガイ神経は傷つけていません

顎削りは、
エラ削りや、
頬骨削りよりも簡単にできるため、
手術を行っているクリニックは多いのですが、
見た目の変化を出そうとすれば、
最低4~5mm程度、骨を切らなければいけません。
しかしながら、
他のクリニックでカウンセリングを受けたり、
手術をされた患者様の話を聞く限りは、
骨切りではなく、削りだけで済まされたり、
2-3mmしか切らないところが多いようです。
顎削りの際には、
あくまで切除量で効果が決まってくるため、
クリニック選びの際には、
「どのくらい骨切りを行うか、
切除した骨を見せてくれるのか」で、
病院を選ばれるといいと思います。
又、骨切り・骨削りと聞くと
とても大きな手術と思い、
消極的になる方もいらっしゃるとは思います。
確かに患者様にとっては
大変心配であり、緊張もされると思います。
ただし、当院でも数多く行っている手術ですし、
全身麻酔を用いて行いますので、
安心して、術前のカウンセリングを
お受け頂ければと思います。
納得いくまでカウンセリングで質問をして頂き
気持ちがクリアな状態で
ご手術をお受け頂きたく思います
心配や不明な事があれば、
お気軽にご相談くださいね
では、今から、
とある手術の新しい術式を
スタッフ交えて勉強会を行いますね。
日々の勉強ってこの年になっても
本当に大切だなと感じます
寒くなってますので
ご自愛くださいね
