しばらくブログ更新が中断していましたが、
しばらくぶりに再開したいと思います。
美容外科で要求されるのは、大幅な変化です。
タルミ取りの手術をしたけれども、
だれも気付かなかったとなると、
患者様本人もがっかりしますよね。
今回は年末に行った、オトガイ形成(顎の骨切り)
について取り上げます。
患者様は、20代 男性で、
顎を短くとがらせたいとの希望でした。
顎は筋肉が厚いため、1~2mmの骨削りでは、
外観上の変化はほとんど得られません。
かといって顎を大幅切除すると、
顎の先端が太くなるため、
エラに近い場所からの切除が必要になります。
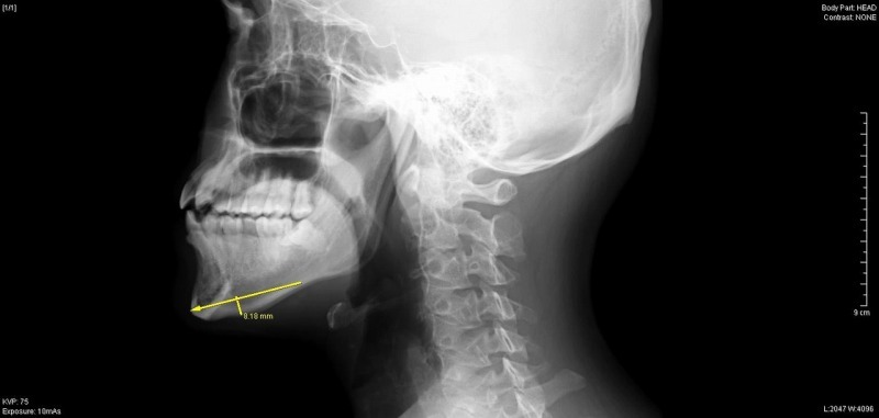
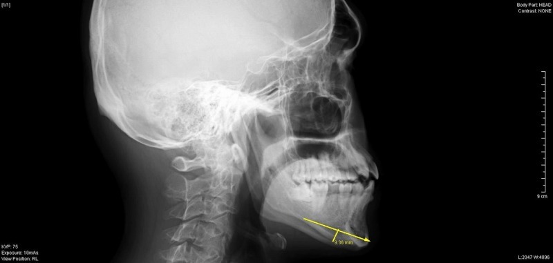
術前のレントゲン検査で最大9mm幅での切除が可能と判断し、
実際も同程度切除が行えました。
通常これぐらい骨切りを行う場合には
顎の中抜き手術を選択される先生が多いのですが、
こちらの手術は、ワイヤー等の異物を残さないため、
レントゲンを撮影する機会の多い歯科治療を受ける際も安心です。
顎が気になる方はぜひ、お気軽にカウンセリングにお越しください。








