最新の手術症例を紹介します。
20代の女性で、
女優の香里奈さんのようにフェイスラインをすっきりさせて
顔を細くしたいと言うご希望で当院に来院されました。
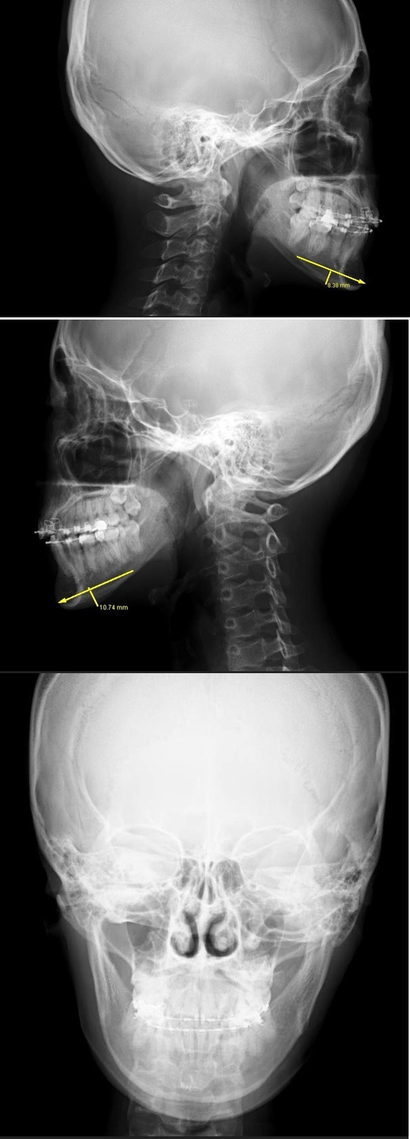
レントゲン正面写真では、
左右ともに下顎骨の中央部あたりに丸みがあり、
左側のほうが右に比べ張り出ています。
左側を少し大きめに切ったほうが良さそうです。
ただし顎は決して長くはないので、
中央部は5mm幅で、左は10mm強、
右は9mm弱切ることとしました。
手術は口腔内アプローチで行い、
2時間半程度で、手術は終了しています。
写真は、切除した骨ですが、
ほぼデザイン通りに切除段差もあまりなく経過しています。
先日、1週間検診で来院されましたが、
下口唇しびれが気になるとのことでした。
オトガイ神経は、今回も傷つけていないのですが、
しびれ症状は必ず出てしまいますね。
先週はもう一件、顎削りがありましたので
次の機会に紹介することに致します。
やはり女性のほうが骨が柔らかいので
手術はやりやすいですね。




