今回は、前回ご紹介したとおり
顎の骨切りが複数症例がありましたので、
2例目を紹介します。
20代女性、顎が長いこと、
しゃくれていることを気にされ
顎骨切りの適応にて手術を行いました。
正面視では下口唇からオトガイ先端までの距離が長く、
フェイスラインも比較的細いため、
中央を大きめに切除し、
やや発達気味の左側を大きめで切除します。
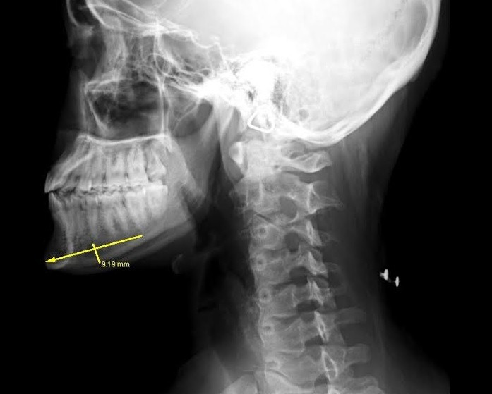
下顎の前突(しゃくれ)については骨きりの際、
大部分が切除でき、残りはサージカルモーターで
削ることにしました。
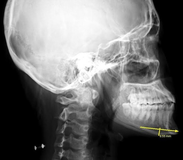
切除できた骨片は、
横幅6.3cm 最大厚 左9mm 右8mm 中央6mmで
今回もほぼデザインどおりの切除が行えました。
切除した骨片の断端は
ノミを使って最後に骨を切り離す際、
少し割れてしまったのですが、
レシプロソーのヤスリを使って仕上げています。
今回もオトガイ神経を切断することなく、
手術を終えることができました。
顎骨きりの症例が増え、
女性でも8mm幅以上で安定して
顎の骨きりを行えるようになりましたが、
腫れや出血などのダウンタイムを
更に短くできないか思案中です。










