40代 女性 小切開+脱脂 池内医師
BEFORE
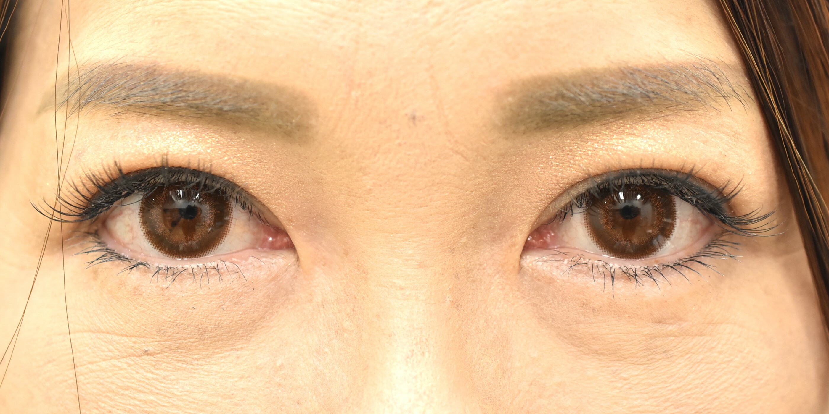
AFTER


施術の解説
40代 女性 部分切開法+脱脂の症例になります。埋没法を以前に行われていましたが、癖が緩んできたため、取れにくい二重にするために前記手術を行いました。 皮下脂肪を切除することで、皮膚と瞼板の癒着広範囲に起こすことで、埋没法よりも取れにくい二重の作成が可能です。また脱脂をすることで、腫れぼったさの改善だけでなく、目尻側のラインが出やすくなる効果もあります。
術後写真は3か月後ですが、きれいな二重ができました。
術後写真は3か月後ですが、きれいな二重ができました。
施術のリスク・副作用
タルミが残る・くぼみ具合の変化・目頭部分の突っ張り・左右差・眉毛の位置の左右差・瞼が完全に閉じない・毛嚢炎・血液貯留・感染・白目や角膜の損傷・シワの増加・腫れ・むくみ・内出血等
施術の総額費用
180,000円(税込)
- ※ 費用は一例であり、モニター価格などの適用、麻酔の有無、使用する器具や施術方法に因り費用が異なる場合がございます。
- ※ この患者様の費用は施術当時の金額になります。実際の費用はクリニックへお問い合わせください。
