20代 女性 埋没法+目頭切開(Z法) 池内医師
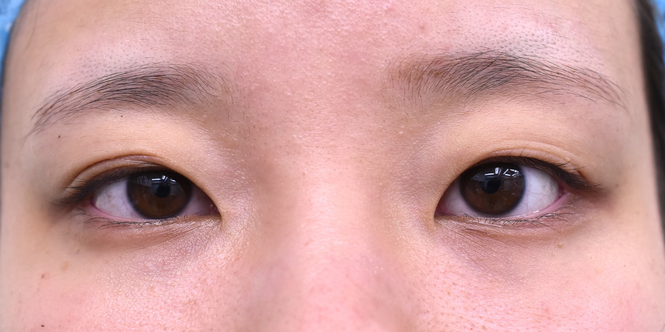
BEFORE
AFTER


施術の解説
20代女性の埋没法+目頭切開症例になります。 テープで二重の癖をつくっていましたが、なかなか癖がつかないため、前記手術にて二重をつくっています。 二重幅は9mm、Z法2mm幅にてデザイン ミックス型になるようにデザインしています。
左目尻の以前の癖は残りましたが、3M検診では自然な二重になりました。
左目尻の以前の癖は残りましたが、3M検診では自然な二重になりました。
施術のリスク・副作用
目頭部分のつっぱり・左右差・眉毛の位置の左右差・白目や角膜の損傷・シワの増加・たるみが残る・くぼみ具合の変化・結膜浮腫・腫れ・浮腫み・内出血・毛嚢炎・血液貯留・感染等
施術の総額費用
220,000円(税込)
- ※ 費用は一例であり、モニター価格などの適用、麻酔の有無、使用する器具や施術方法に因り費用が異なる場合がございます。
- ※ この患者様の費用は施術当時の金額になります。実際の費用はクリニックへお問い合わせください。
