20代 女性 中切開 池内医師
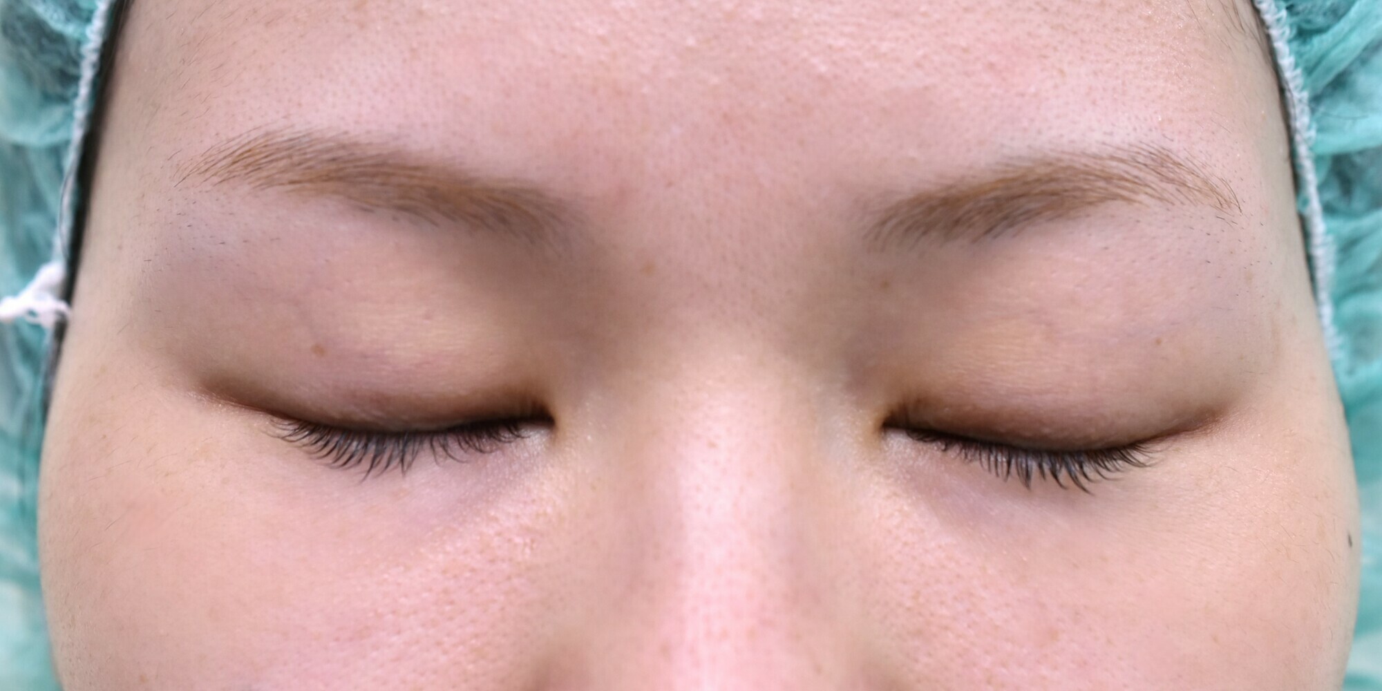
BEFORE
AFTER



施術の解説
20代女性の中切開法+挙筋短縮、逆さまつ毛修正症例になります。当初埋没法で考えておられましたが、それでは二重のくせが長持ちしないことを説明し、中切開法となりました。小切開法と比較して皮膚切開の距離が長く、瞼が厚い方が良い適応になります。
8mm幅の末広型でデザインし、脱脂、逆さまつ毛修正に合わせて、挙筋腱膜前転も行っています。
術後写真は3ヶ月後ですが、腫れぼったさもかなり改善し、自然な二重ができました。
8mm幅の末広型でデザインし、脱脂、逆さまつ毛修正に合わせて、挙筋腱膜前転も行っています。
術後写真は3ヶ月後ですが、腫れぼったさもかなり改善し、自然な二重ができました。
施術のリスク・副作用
目頭部分のつっぱり・左右差・眉毛の位置の左右差・瞼が完全に閉じない・毛嚢炎・血液貯留・感染・白目や角膜の損傷・シワの増加・たるみが残る・くぼみ具合の変化・腫れ・浮腫み・結膜浮腫・内出血等
施術の総額費用
230,050円(税込)
- ※ 費用は一例であり、モニター価格などの適用、麻酔の有無、使用する器具や施術方法に因り費用が異なる場合がございます。
- ※ この患者様の費用は施術当時の金額になります。実際の費用はクリニックへお問い合わせください。
