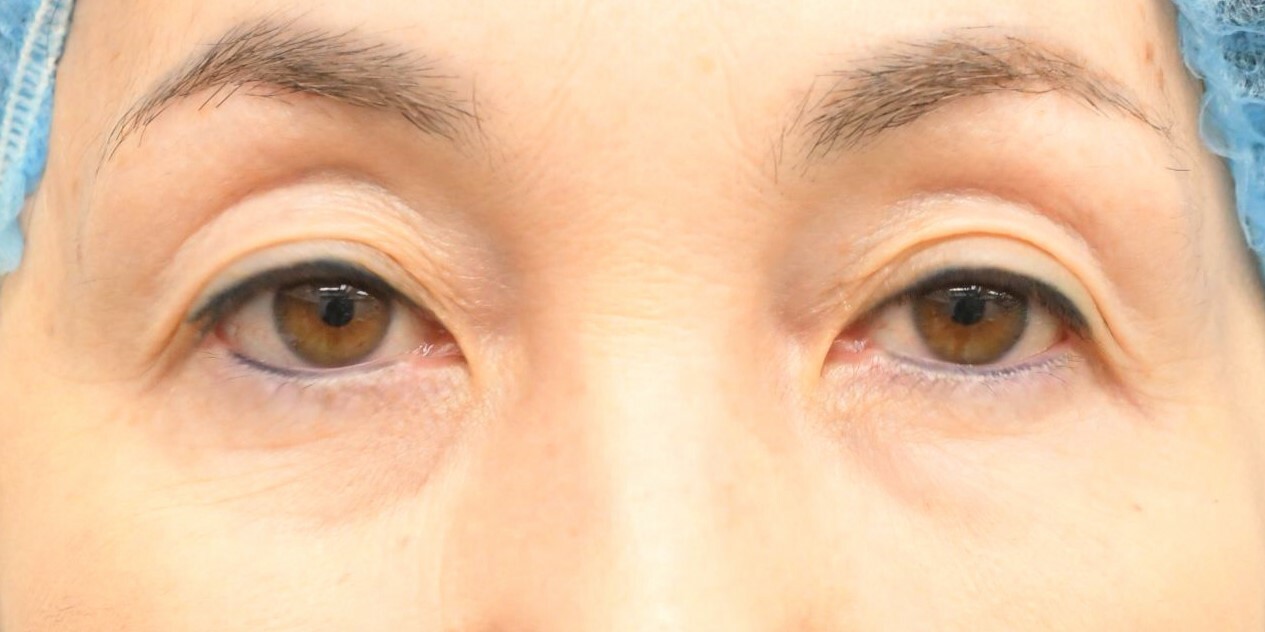
40代 女性 下眼瞼切開+脱脂 池内医師
BEFORE
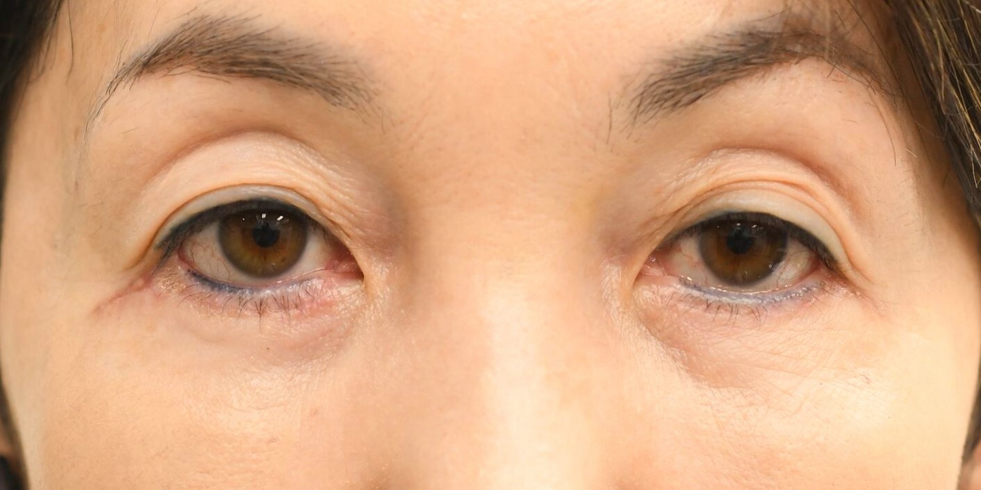
AFTER


施術の解説
40代女性の下眼瞼切開+脱脂症例になります。目元のタルミの改善に前記手術を行いました。皮膚切除を行わないクマ取りに関しては、目元の小じわが多いため、不適と判断しました。たるみは最大幅6mm、合わせて眼窩脂肪を併せて切除しています。
3M検診時には、外反もほとんど改善し、すっきりとしたお目元になりました。
3M検診時には、外反もほとんど改善し、すっきりとしたお目元になりました。
施術のリスク・副作用
たるみが残る・くぼみ具合の変化・目頭部分のつっぱり・左右差・眉毛の位置の左右差・瞼が完全に閉じない・毛嚢炎・血液貯留・感染・白目や角膜の損傷・腫れ・浮腫み・結膜浮腫・シワの増加・内出血等
施術の総額費用
315,000円(税込)
- ※ 費用は一例であり、モニター価格などの適用、麻酔の有無、使用する器具や施術方法に因り費用が異なる場合がございます。
- ※ この患者様の費用は施術当時の金額になります。実際の費用はクリニックへお問い合わせください。
