30代 男性 全切開法(挙筋修正 逆さまつ毛修正) 池内医師
BEFORE
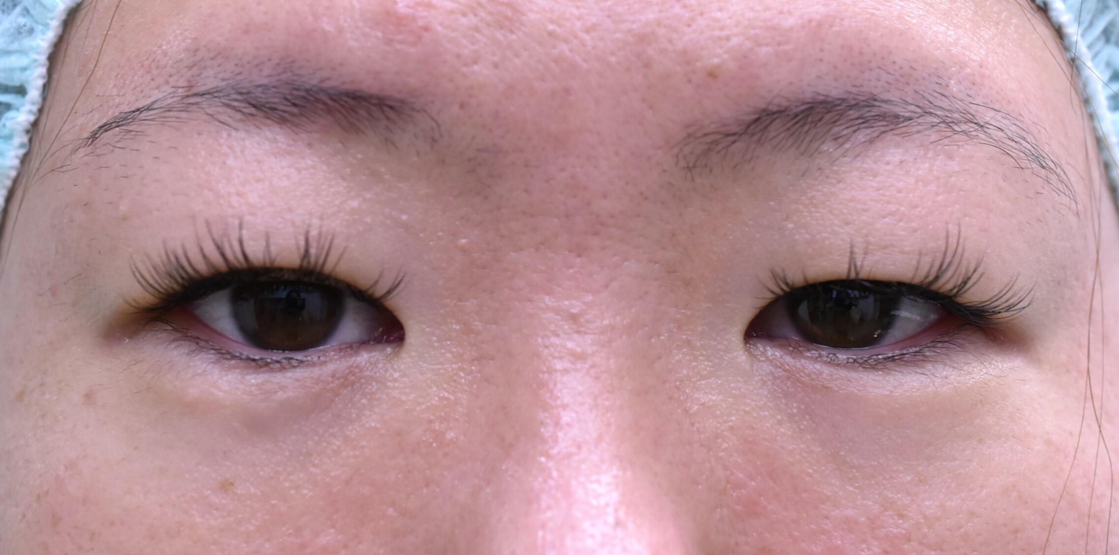
AFTER


施術の解説
30代男性の全切開法症例です。男性俳優のような目にしたいとの希望にて、あまり広くない末広型で、まつ毛が跳ね上がるようなデザインで行いました。二重幅は7㎜。二重を広げるために、たるみを1.5㎜幅で切除し、挙筋腱膜前転による下垂修正も併せて行っています。また、まつ毛の生え際が上がるように、二重ライン~まつ毛側のたるみを切除し、さかさまつ毛修正も行いました。3M検診までに腫れ改善のためステロイド注射を1回行いましたが、すっきりとした瞼になりました。
施術のリスク・副作用
左右差・眉毛の位置の左右差・瞼が完全に閉じない・白目や角膜の損傷・シワの増加・たるみが残る・くぼみ具合の変化・結膜浮腫・腫れ・浮腫み・内出血・毛嚢炎・血液貯留・感染等
施術の総額費用
345,000円(税込)
- ※ 費用は一例であり、モニター価格などの適用、麻酔の有無、使用する器具や施術方法に因り費用が異なる場合がございます。
- ※ この患者様の費用は施術当時の金額になります。実際の費用はクリニックへお問い合わせください。
