皆さん、こんにちは。
仕事が忙しく投稿の間隔があいてしまいましたが、
いくつか興味深い症例が集まりましたのでご紹介します。
今回ご紹介する症例は、30代男性の顎の骨切り症例です。
過去に受け口改善目的のセットバック手術をされていましたが、
保険診療の適応でない下顎骨の骨切りはされていませんでした。
患者様は、受け口は改善したものの顎の長さと、
おとがいの突出が気になり当院に来院されました。
外観上セットバック手術だけを先に行ったせいか、
おとがいの突出、いわゆるしゃくれが強く見え、
決してお顔が小さいわけではないのに、
下顎骨の長さが目立ちました。
【骨切り手術前 正面】
【骨切り手術前 左横】
【骨切り手術前 右横】
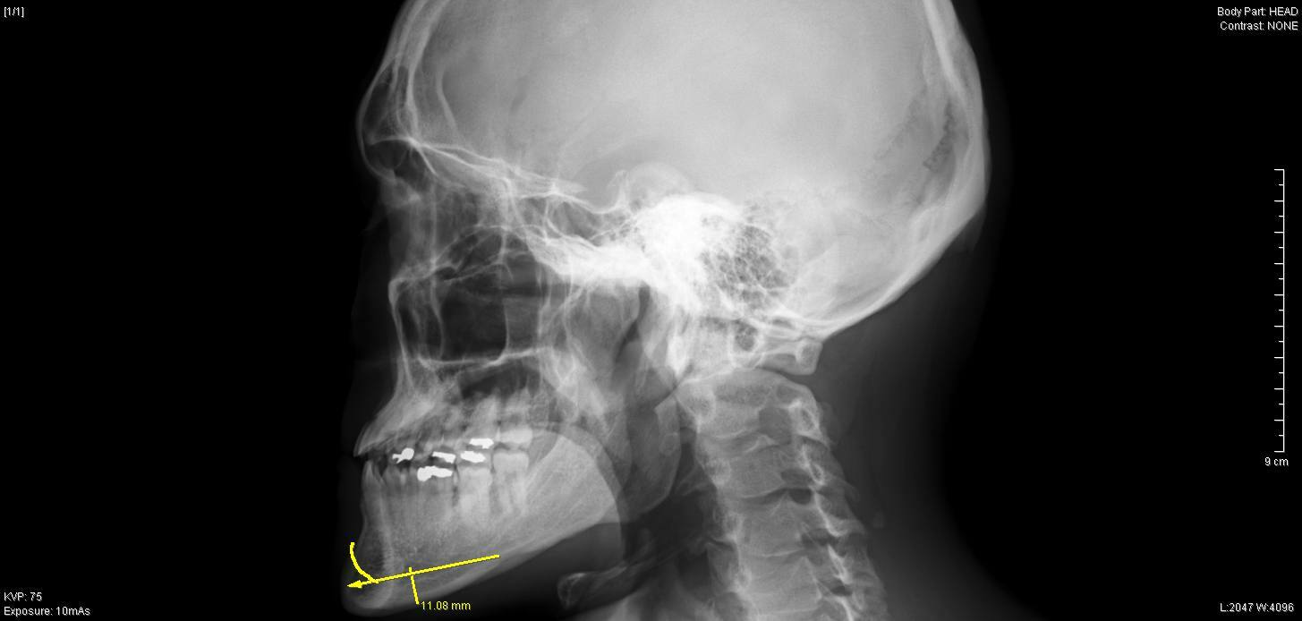
レントゲンでは、上下方向の切除幅は約1cm、
それに加えEラインを考慮して、
一度、顎にメスが入っていること、
出血や骨が硬いせいで手間取る可能性も考慮しましたが、
幸いにも出血も通常範囲内に収まり、
オトガイ神経を損傷することなく手術を終えることができました。
腫脹予防のために翌日までドレーンを留置しています。
取り出した骨片はやや、右側が大きいですが、
サージカルモーターを使用し、
左側を追加でトリミングし左右差を無くしています。
右側 最大 10mm
左側 最大 9mm
先端部 7mm
他院にて、すでに下顎骨にメスが入っていても、
手術後ある程度年数が経過し、
美容的に見て下顎骨が大きければ、
顎骨切りの適応があります。
お悩みの方はぜひご相談ください。
次回は、他院での顎骨切り後修正を行った症例をご紹介します。









