みなさんこんにちは。
暖かくなったと思いきや寒さがぶり返したり・・・
体調管理にはくれぐれもお気を付けくださいね、
さて、本日も輪郭形成術、顎骨切りについてです。
当院では、下顎骨の手術としては単純な骨切りが多く、
中抜き法はあまり多くありません。
理由としては、中抜き法のメリットとして挙げられる『おとがい先端の尖りを残しつつ顎を短くすること』が下顎骨切りでも可能だからです。
今回は、中抜き法がより適していた、実際の手術症例をご紹介します。
今回の症例は、30代の男性です。
顎を短くしたいというご希望で来院されましたが、
『おとがい』が後退しており、
通常の下顎骨切りを行うとさらに顎が後退したようになる為、
中抜き法を選択しました。
中抜き法の特徴としては、単純に一度切り離した
下顎骨先端をそのまま接合するだけではなく、
少し前にずらして接合することでEラインを整えることも可能です。
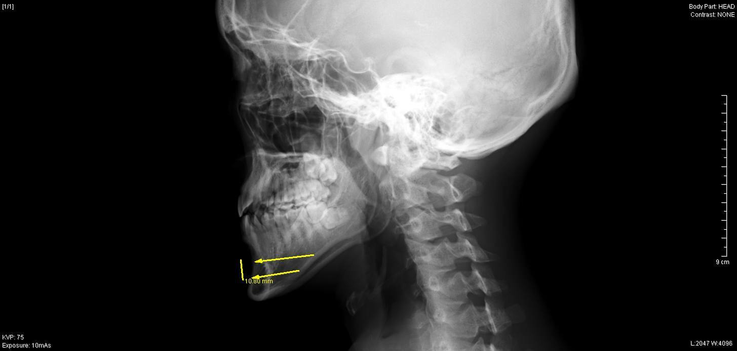
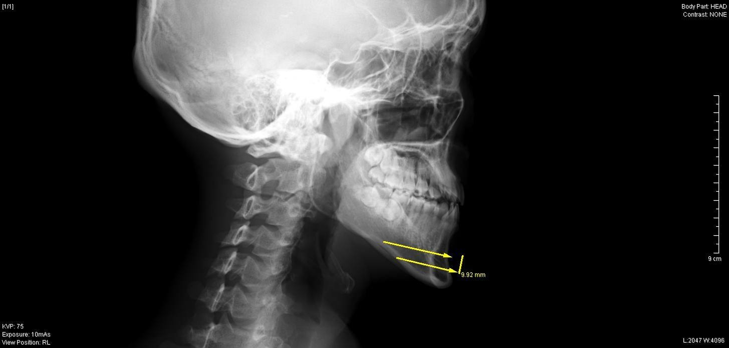
今回の症例では、最大9mm幅で下顎骨を中抜きし、
おとがい先端を約4mm前進させて
チタンスクリュー、プレートで再接合しました。
今回の症例では、下顎骨が長い割に
オトガイ神経の位置がかなり下側に開口しており、
骨切りの際、右側のオトガイ神経に少しダメージを与えてしまいましたが、
2
週間後の抜糸では、
鈍麻は残るものの知覚に左右差なく順調に回復していました。
今症例は、患者様の非常に長いにもかかわらず顎が後退してしたため、下顎骨中抜き法を行い、下顎骨を上下方向に大幅に短縮しつつ再接合の際前にずらして固定することで、Eラインも改善することができました。
次回はVラインカット法、
下顎骨の両サイドを主に切除することで
フェイスラインをV字型に近づけた症例をご紹介します。








